Verified by: drg. Tya Salampessy
Apa kamu pernah merasa dijauhi oleh orang lain tanpa sebab? Jangan sakit hati dulu! Mungkin kamu sedang mengalami bau mulut tanpa kamu sadari. Bau mulut atau halitosis adalah salah satu masalah yang paling sering membuat kita kurang percaya diri. Meskipun umum terjadi, banyak yang belum sadar bahwa ini disebabkan oleh kebiasaan sehari-hari kita. Dengan melakukan perubahan kecil, percaya deh, masalah ini bisa dikurangi secara signifikan bahkan hilang sepenuhnya loh!
Bau mulut biasanya disebabkan oleh penumpukan bakteri di dalam mulut, terutama pada lidah, gusi, dan sela-sela gigi. Bakteri ini memecah sisa makanan dan menghasilkan gas sulfur yang berbau tidak sedap. Selain itu, kebiasaan seperti kurang minum air putih, jarang sikat gigi, atau buruknya pola makan juga bisa memperparah kondisi ini. Lalu ada juga faktor-faktor lain seperti:

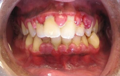
Foto: Penyakit gusi gingivitis
Bau mulut pada pasien dengan penyakit gusi disebabkan oleh gas volatil berbau tajam atau volatile sulfur compounds (VSCs) seperti hidrogen sulfida (H₂S) dan metil merkaptan (CH₃SH). Gas tersebut dihasilkan oleh mikroorganisme anaerob Gram-negatif yang hidup di saku periodontal, plak subgingival, dan permukaan lidah.
Sekitar 85–90% kasus halitosis bersumber dari rongga mulut (gigi, lidah, gusi). Namun, 10–15% kasus berasal dari luar rongga mulut, terutama dari saluran pencernaan bagian atas, saluran pernapasan, atau kondisi sistemik. Ketika asam lambung naik ke kerongkongan (refluks), gas asam dan isi lambung (pepsin, HCl, asam lemak) dapat membuat mulut terasa asam, pahit, dan menimbulkan bau khas.
Pada kasus sinusitis (akut maupun kronis), terjadi peradangan mukosa sinus yang berarti produksi lendir meningkat. Lendir ini bercampur dengan sel mati, bakteri, dan nanah, sehingga menjadi gas volatile sulfur compounds (VSCs), asam butirat, dan skatol yang berbau busuk. Ketika lendir mengalir dari belakang hidung ke tenggorokan (post-nasal drip), sebagiannya menempel di dinding faring atau lidah yang menjadi penyebab bau mulut.
Tapi tenang saja, sebagian besar penyebab bau mulut bisa diatasi hanya dengan mengubah 5 kebiasaan kecil di hidupmu.
Baca Juga: Mau Cabut Gigi? Ternyata Bisa Berisiko Kalau Kamu..
Menyikat gigi dua kali sehari memang sudah menjadi kebiasaan kita, tetapi banyak orang lupa untuk membersihkan lidah. Lidah merupakan tempat yang nyaman untuk bakteri penyebab bau mulut. Gunakan pembersih lidah (tongue scraper) atau sikat gigi dengan lembut bagian permukaan lidah setiap kali menyikat gigi. Selain itu, pastikan menyikat gigi minimal dua menit dengan pasta gigi berfluoride. Sisa makanan yang tersangkut di sela-sela gigi sering tidak bisa dibersihkan dengan sikat gigi. Jika dibiarkan, sisa makanan tersebut akan membusuk dan menimbulkan bau tidak sedap. Gunakan benang gigi (dental floss) untuk membersihkan sela gigi secara menyeluruh.
Mulut kering adalah salah satu penyebab utama bau mulut. Air liur berfungsi membersihkan sisa makanan dan menghambat pertumbuhan bakteri. Dengan minum air putih yang cukup (sekitar 8 gelas per hari), kamu membantu menjaga mulut tetap lembap dan bersih secara alami. Kurangi konsumsi kopi, teh, atau minuman berperisa karena dapat menyebabkan mulut kering.

Foto: Konsumsi buah bersama orang terkasih
Beberapa makanan seperti bawang putih, bawang merah, durian, dan kopi dikenal dapat meninggalkan aroma kuat di mulut. Meski tidak perlu dihindari sepenuhnya, kamu bisa mengatur waktu konsumsinya dan segera menyikat gigi atau berkumur setelah makan untuk menghilangkan bau. Konsumsi lebih banyak buah dan sayur yang berserat tinggi (seperti apel, wortel, mentimun, seledri) untuk membantu membersihkan plak dan sisa makanan dari permukaan gigi dan lidah saat dikunyah. Itulah mengapa sehabis makan kita dianjurkan untuk mengonsumsi buah.
Buah dan sayur mengandung banyak air dan membutuhkan pengunyahan yang lebih lama. Proses ini merangsang kelenjar saliva untuk menghasilkan lebih banyak air liur yang merupakan salah satu mekanisme alami tubuh untuk:
Asap rokok mengandung lebih dari 7.000 zat kimia, termasuk nikotin, tar, dan amonia yang menempel pada permukaan gigi, gusi,dan lidah. Zat-zat tersebut menimbulkan bau khas “rokok basi” yang sulit hilang bahkan setelah menyikat gigi. Residu nikotin dan tar juga membuat lidah tampak berwarna kuning kecokelatan (smoker’s tongue).
Minuman beralkohol bersifat diuretik yang berarti meningkatkan pengeluaran cairan tubuh. Selain itu, alkohol menguap melalui paru-paru dan mengurangi produksi air liur, sehingga rongga mulut menjadi kering. Mulut kering (xerostomia) menciptakan kondisi anaerob, yang mendukung bakteri penghasil bau berkembang biak lebih cepat.
Bau mulut bukan hanya disebabkan oleh kurangnya kebersihan mulut, tetapi juga tanda adanya penyakit gusi, gigi berlubang, atau infeksi di rongga mulut. Dengan pemeriksaan rutin setiap 6 bulan, dokter gigi dapat mendeteksi dan mengatasi masalah ini lebih awal sebelum menimbulkan bau tak sedap yang kronis.
Jika bau mulut tidak kunjung hilang meski sudah menjaga kebersihan mulut, sebaiknya segera konsultasikan di Maesa Dental Clinic. Dengan pemeriksaan menyeluruh, penyebabnya bau mulut dapat diketahui dan diatasi dengan cara yang tepat. RSVP Sekarang!
Referensi:
De Geest S, Laleman I, Teughels W, Dekeyser C, Quirynen M. Periodontal diseases as a source of halitosis: a review of the evidence and treatment approaches for dentists and dental hygienists. Periodontol 2000. 2016 Jun;71(1):213-27. doi: 10.1111/prd.12111. PMID: 27045438.
Tangerman, A & Winkel, E. (2010). Extra-oral halitosis: An overview. Journal of breath research. 4. 017003. 10.1088/1752-7155/4/1/017003.
Scully C, Greenman J. Halitosis (breath odor). Periodontol 2000. 2008.
Smile Connect dan Mae Care Program adalah layanan pendampingan kesehatan gigi yang personal, hangat, dan profesional.Temui kami di hari terbaik untuk senyummu
Karena kesehatan dan keamanan Anda adalah prioritas kami, kami hadir bersama mitra asuransi terbaik untuk menjaga setiap langkah Anda.
Ghea Youbi
Satisfied Patient"Aku habis perawatan Bleaching, memuaskan bangettt... hasilnya putih banget dan natural, setelah 3 hari jadi...