background

Maesa Update

Update seru seputar klinik, info menarik, dan tips menjaga senyum sehatmu setiap hari.


NEWS Maesa Dental Clinic | Klinik Gigi Terbaik - Pasta Gigi Berfluoride: Ayo Pelajari Manfaat dan Risikonya!

Pasta Gigi Berfluoride: Ayo Pelajari Manfaat dan Risikonya!

Verified by: drg. Tya SalampessySemenjak kita kecil, orang tua kita mengajarkan kita untuk selalu menyikat...

Selengkapnya
NEWS Maesa Dental Clinic | Klinik Gigi Terbaik - Ini Fungsi Retainer Gigi Setelah Kamu Lepas Behel

Ini Fungsi Retainer Gigi Setelah Kamu Lepas Behel

Verified by: drg. Tya SalampessyApakah kamu pernah atau sedang menggunakan behel pada gigi? Kebanyakan pasien...

Selengkapnya
NEWS Maesa Dental Clinic | Klinik Gigi Terbaik - Abses Pada Leher Akibat Menunda Perawatan Gigi

Abses Pada Leher Akibat Menunda Perawatan Gigi

Verified by: drg. Tya Salampessy Foto: Kasus Abses Sumbandibula yang dialami content creator Tiktok @thelastwolf99Abses...

Selengkapnya
NEWS Maesa Dental Clinic | Klinik Gigi Terbaik - Kenali Gejala infeksi Virus HIV pada Rongga Mulut!

Kenali Gejala infeksi Virus HIV pada Rongga Mulut!

Verified by drg. Tya Salampessy HIV (Human Immunodeficiency Virus) adalah virus yang menyerang sistem kekebalan...

Selengkapnya
NEWS Maesa Dental Clinic | Klinik Gigi Terbaik - Atasi Bau Mulut Dengan Ubah 5 Hal Ini di Hidupmu!

Atasi Bau Mulut Dengan Ubah 5 Hal Ini di Hidupmu!

Verified by: drg. Tya Salampessy Apa kamu pernah merasa dijauhi oleh orang lain tanpa sebab?...

Selengkapnya
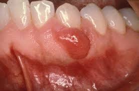
NEWS Maesa Dental Clinic | Klinik Gigi Terbaik - Tumor pada Ronga Mulut dengan Dentin. Apa Mungkin?

Tumor pada Ronga Mulut dengan Dentin. Apa Mungkin?

Verified by: drg. Tya SalampessyPenyakit tumor yang menyerang rongga mulut umumnya merupakan jenis Squamous Cell...

Selengkapnya
NEWS Maesa Dental Clinic | Klinik Gigi Terbaik - Bleaching Gigi: Solusi untuk Kembalikan Warna Gigi Putih Bersinar

Bleaching Gigi: Solusi untuk Kembalikan Warna Gigi Putih Bersinar

Verified by: drg. Tya SalampessySiapa yang tidak ingin memiliki senyum yang cerah dan menawan? Warna...

Selengkapnya
NEWS Maesa Dental Clinic | Klinik Gigi Terbaik - Perawatan Gigi Lansia untuk Selamatkan Senyum Orang Tua Kita

Perawatan Gigi Lansia untuk Selamatkan Senyum Orang Tua Kita

Verified by drg. Tya Salampessy Seiring bertambahnya usia, kondisi kesehatan tubuh terutama kesehatan gigi dan...

Selengkapnya
NEWS Maesa Dental Clinic | Klinik Gigi Terbaik - Mau Cabut Gigi? Ternyata Bisa Berisiko Kalau Kamu..

Mau Cabut Gigi? Ternyata Bisa Berisiko Kalau Kamu..

Verified by: drg. Tya Salampessy Meskipun pencabutan gigi merupakan prosedur medis yang cukup sering dilakukan....

Selengkapnya
NEWS Maesa Dental Clinic | Klinik Gigi Terbaik - Gigi Susu Anak Mau Copot? Jangan Asal Cabut!

Gigi Susu Anak Mau Copot? Jangan Asal Cabut!

Verified by: drg. Tya SalampessyKalo parents mau nyabut gigi susu anak yang sudah goyang, coba...

Selengkapnya
NEWS Maesa Dental Clinic | Klinik Gigi Terbaik - Yuk Ketahui Manfaat Direct Veneer, Cara Agar Gigi Putih Seketika!

Yuk Ketahui Manfaat Direct Veneer, Cara Agar Gigi Putih Seketika!

Verified by: drg. Tya SalampessyPasti kamu selalu pengen punya senyum yang indah dan gigi yang...

Selengkapnya
NEWS Maesa Dental Clinic | Klinik Gigi Terbaik - Sering Minum Matcha Latte? Ternyata Ada Resikonya untuk Kesehatan Gigi Loh!

Sering Minum Matcha Latte? Ternyata Ada Resikonya untuk Kesehatan Gigi Loh!

Verified by: drg. Hapsari AmidjojoBeberapa bulan terakhir, matcha latte menjadi salah satu minuman paling populer...

Selengkapnya

Tersambung lebih dari
sekadar janji temu.

Smile Connect dan Mae Care Program adalah layanan pendampingan kesehatan gigi yang personal, hangat, dan profesional.Temui kami di hari terbaik untuk senyummu

SMILE CONNECT Maesa Dental Clinic | Klinik Gigi Terbaik

Smile Connect

Our expert strives to make each interaction with patients clear, concise, and inviting. Support the important work of Maesa Dental by making a much-needed donation today.


MAE CARE Maesa Dental Clinic | Klinik Gigi Terbaik

Mae Care

Our expert strives to make each interaction with patients clear, concise, and inviting. Support the important work of Maesa Dental by making a much-needed donation today.


Insurance Partners

Karena kesehatan dan keamanan Anda adalah prioritas kami, kami hadir bersama mitra asuransi terbaik untuk menjaga setiap langkah Anda.