Verified by: drg. Tya Salampessy
Tidak bisa kita menyangkal fakta bahwa banyak orang sering menunda perawatan gigi. Alasan mereka karena merasa keluhan gigi masih ringan, seperti nyeri sesekali karena gigi berlubang hingga gusi yang berdarah. Namun, tahukan kamu kalau kebiasaan menunda perawatan gigi justru bisa berakibat fatal?
Kondisi gigi yang seharusnya bisa diselamatkan dengan perawatan sederhana, seperti tambal atau PSA (Perawatan Saluran Akar), bisa berakhir dengan pencabutan gigi. Menunda perawatan gigi bukan hanya merugikan dari sisi kesehatan, tetapi juga berdampak pada kenyamanan mengunyah makanan, bahkan bisa menurunkan kepercayaan diri seseorang. Artikel ini membahas berbagai macam risiko apabila kita sering menunda perawatan gigi.
Permasalahan pada gigi tidak membaik dengan sendirinya. Bakteri yang berkembang di rongga mulut dapat memperparah kerusakan jaringan gigi jika tidak segera diatasi. Berikut beberapa alasan mengapa menunda perawatan gigi bisa berujung pada pencabutan:
Lubang kecil pada gigi (karies awal) sebenarnya bisa ditambal dengan mudah. Namun karena kesibukan atau rasa abai, kita menjadikan lubang tersebut perlahan meluas hingga mencapai saraf gigi. Saat saraf sudah terinfeksi, perawatan yang dibutuhkan menjadi lebih kompleks bahkan terkadang tidak bisa diselamatkan lagi dan kemudian harus dicabut.
Infeksi pada gigi yang tidak segera diobati dapat menyebar ke gusi dan tulang penyangga gigi. Kondisi ini bisa menyebabkan abses (kantung nanah) yang menimbulkan nyeri hebat dan pembengkakan wajah. Jika sudah seperti ini, pencabutan gigi sering menjadi satu-satunya pilihan untuk menghentikan infeksi.
Penyakit gusi (periodontitis) yang dibiarkan tanpa perawatan dapat membuat tulang rahang kehilangan kekuatannya. Akibatnya, akar gigi melemah dan gigi tidak bisa dipertahankan.
Beberapa gejala ini bisa menjadi tanda bahwa gigi kamu sudah mengalami kerusakan parah dan mungkin sulit dipertahankan:
Jika kamu mengalami salah satu tanda di atas, segera konsultasikan ke dokter gigi agar dilakukan pemeriksaan dan perawatan yang sesuai. Semakin cepat ditangani, semakin besar kemungkinan gigi bisa diselamatkan tanpa perlu dicabut.
Semua risiko diatas bisa kamu hindari kalau kamu rutin memeriksakan gigi kamu ke dokter gigi Setiap 6 Bulan. Karena pemeriksaan rutin membantu mendeteksi masalah sejak dini sebelum menjadi masalah yang serius. Apabila ada keluhan pada gigi, kamu lekas memeriksakan gigi ke dokter gigi tanpa menunggu datangnya nyeri. Kebersihan mulut harus dijaga. Maka sikatlah gigi dua kali sehari dengan pasta gigi berfluoride dan gunakan benang gigi (dental floss) untuk membersihkan sisa makanan yang tersangkut pada sela-sela gigi. Gula adalah sumber makanan utama makanan bakteri penyebab gigi berlubang. Maka dari itu kurangilah asupan gula khususnya yang berasal dari makanan dan minuman yang manis.
Baca Juga: Frekuensi Sikat Gigi Menurut Rekomendasi Dokter, Simak ya!
Meskipun pencabutan dapat menjadi solusi terakhir, kehilangan gigi permanen bisa menimbulkan berbagai masalah, seperti:
Untuk mencegah hal tersebut, dokter gigi biasanya akan menyarankan penggantian gigi yang hilang, seperti dengan gigi palsu, bridge, atau implan gigi.

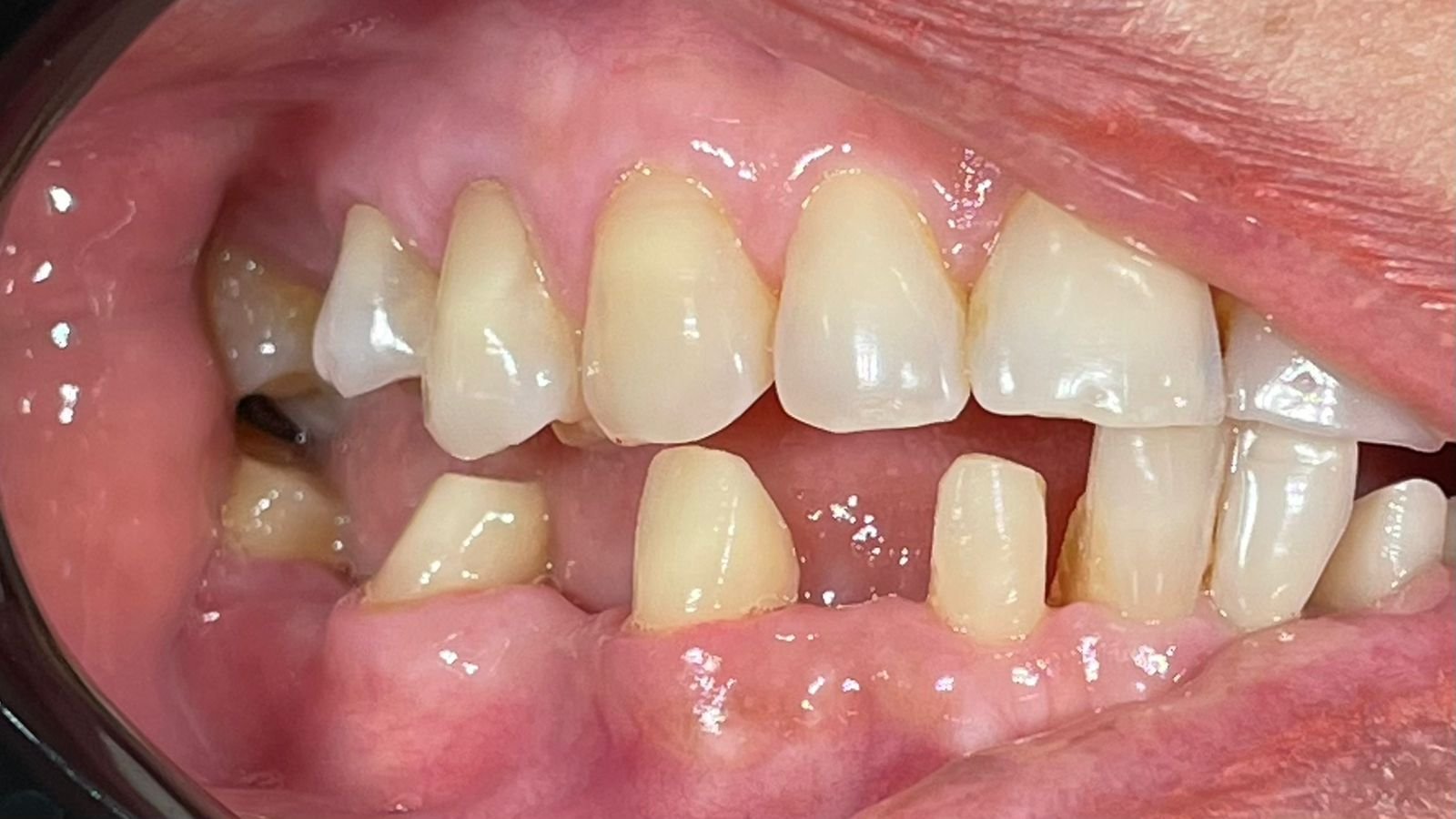
Foto: Kondisi gigi sebelum pemasangan gigi palsu
Maesa Dental Clinic menyediakan tratment pemasangan gigi palsu untuk menjawab solusi permasalahan gigi kamu yang ompong. Khusus bulan Oktober sedang ada promo bundling October Double:
Pemasangan Gigi Palsu 15% OFF + Direct Veneer 10% OFF* RSVP Sekarang!
Pemasangan Gigi Palsu 15% OFF + Penambalan 15% OFF* RSVP Sekarang!

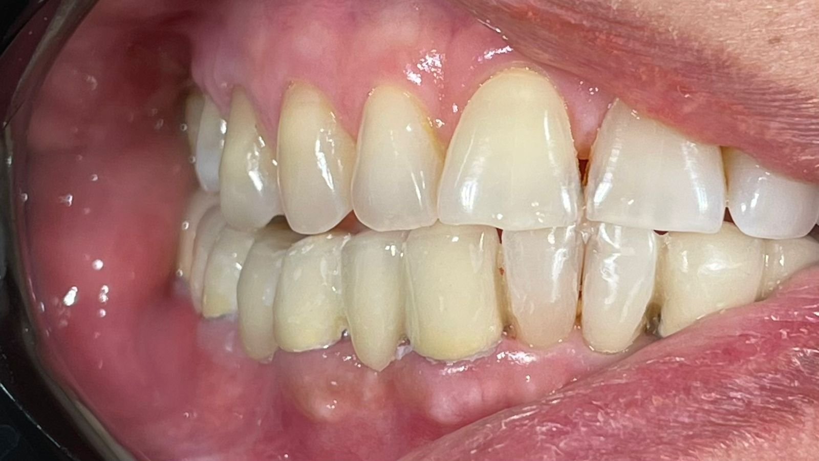
Foto: Kondisi gigi setelah pemasangan gigi palsu
Maesa Dental, Investasi Senyum Terbaikmu!
*Hanya berlaku sampai 31 Oktober 2025
*Syarat & ketentuan berlaku
Smile Connect dan Mae Care Program adalah layanan pendampingan kesehatan gigi yang personal, hangat, dan profesional.Temui kami di hari terbaik untuk senyummu
Karena kesehatan dan keamanan Anda adalah prioritas kami, kami hadir bersama mitra asuransi terbaik untuk menjaga setiap langkah Anda.
Ghea Youbi
Satisfied Patient"Aku habis perawatan Bleaching, memuaskan bangettt... hasilnya putih banget dan natural, setelah 3 hari jadi...